症例87 モニター 25歳女性
手術方法
経結膜脱脂と脂肪注入(ダブルリポ法)の、それぞれの術後経過と治療結果が分かるように、手術を2回に分けて行っています。
先に経結膜脱脂だけを行い、その手術3ヶ月後に脂肪注入(ダブルリポ法)を行いました。
経結膜脱脂だけ行った結果よりも、脂肪注入まで合わせて行った結果のほうが、より良い結果になっていることがお分かり頂けると思います。
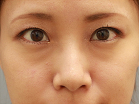
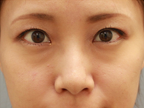
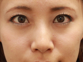
手術ビフォーアフター①(手術前と経結膜脱脂手術後の比較)

- 手術前(メイクあり)

- 経結膜脱脂 手術3ヶ月後(メイクあり)

- 手術前(メイクあり)

- 経結膜脱脂 手術3ヶ月後(メイクあり)

- 手術前(メイクあり)

- 経結膜脱脂 手術3ヶ月後(メイクあり)

- 手術前(メイクあり)

- 経結膜脱脂 手術3ヶ月後(メイクあり)

- 手術前(メイクあり)

- 経結膜脱脂 手術3ヶ月後(メイクあり)
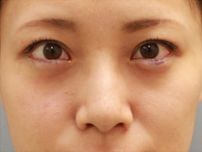
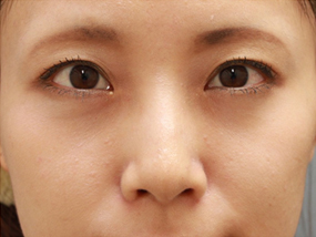
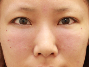
手術ビフォーアフター②(手術前と脱脂ダブルリポ法手術後の比較)

- 手術前(メイクあり)

- 脱脂後に脂肪注入 手術3ヶ月後(メイクあり)

- 手術前(メイクあり)

- 脱脂後に脂肪注入 手術3ヶ月後(メイクあり)

- 手術前(メイクあり)

- 脱脂後に脂肪注入 手術3ヶ月後(メイクあり)

- 手術前(メイクあり)

- 脱脂後に脂肪注入 手術3ヶ月後(メイクあり)

- 手術前(メイクあり)

- 脱脂後に脂肪注入 手術3ヶ月後(メイクあり)
経過の症例画像

- ①手術前(メイクあり)

- ①手術前(メイクあり)

- ②経結膜脱脂 手術直後(メイクなし)

- ②経結膜脱脂 手術直後(メイクなし)

- ③経結膜脱脂 手術3日後(メイクあり)

- ③経結膜脱脂 手術3日後(メイクあり)

- ④経結膜脱脂 手術1週間後(メイクあり)

- ④経結膜脱脂 手術1週間後(メイクあり)

- ⑤経結膜脱脂 手術2週間後(メイクあり)

- ⑤経結膜脱脂 手術2週間後(メイクあり)

- ⑥経結膜脱脂 手術1ヶ月後(メイクあり)

- ⑥経結膜脱脂 手術1ヶ月後(メイクあり)

- ⑦経結膜脱脂 手術2ヶ月後(メイクあり)

- ⑦経結膜脱脂 手術2ヶ月後(メイクあり)

- ⑧経結膜脱脂 手術3ヶ月後(メイクあり)

- ⑧経結膜脱脂 手術3ヶ月後(メイクあり)

- ⑨脱脂後に脂肪注入 デザイン(メイクなし)

- ⑨脱脂後に脂肪注入 デザイン(メイクなし)

- ⑩脱脂後に右側のみ脂肪注入(メイクなし)

- ⑩脱脂後に右側のみ脂肪注入(メイクなし)

- ⑩脱脂後に右側のみ脂肪注入(メイクなし)

- ⑩脱脂後に右側のみ脂肪注入(メイクなし)

- ⑩脱脂後に右側のみ脂肪注入(メイクなし)

- ⑩脱脂後に右側のみ脂肪注入(メイクなし)

- ⑪脱脂後に脂肪注入 手術直後(メイクなし)

- ⑪脱脂後に脂肪注入 手術直後(メイクなし)

- ⑫脱脂後に脂肪注入 手術4日後(メイクあり)

- ⑫脱脂後に脂肪注入 手術4日後(メイクあり)

- ⑬脱脂後に脂肪注入 手術1週間後(メイクあり)

- ⑬脱脂後に脂肪注入 手術1週間後(メイクあり)

- ⑭脱脂後に脂肪注入 手術2週間後(メイクあり)

- ⑭脱脂後に脂肪注入 手術2週間後(メイクあり)

- ⑬脱脂後に脂肪注入 手術1ヶ月後(メイクあり)

- ⑬脱脂後に脂肪注入 手術1ヶ月後(メイクあり)

- ⑭脱脂後に脂肪注入 手術2ヶ月後(メイクあり)

- ⑭脱脂後に脂肪注入 手術2ヶ月後(メイクあり)

- ⑬脱脂後に脂肪注入 手術3ヶ月後(メイクあり)

- ⑬脱脂後に脂肪注入 手術3ヶ月後(メイクあり)
[ 料金 ]
| 施術内容 | 標準治療費 |
|---|---|
| 脱脂ダブルリポ法 | ¥550,000(税込) |
[ 主な注意事項 ]
- 手術後の洗顔は当日から可能です。アイライン、マスカラ、アイシャドウを含むメイクは翌日から可能ですが、メイクの際はアイメイクの化粧品が目に入らないように注意してご使用下さい。
- 手術直後から2~3日間は目の下から頬にかけて腫れが出る場合があります。
- 吸引部、並びに注入部は、内出血することがあります。
- 術後1週間は目ヤニや充血などの症状が出る事があります。
- コンタクトレンズの使用は1週間控えてください。


